癌症放化疗后恢复难?找了100多种药,终于找到一种加快血液系统恢复的药
医学资讯
|
阅读量:次
由UCLA Health 医疗中心的医生、科学家和化学家研制的一种药物,可以加速暴露在辐射下的小鼠和人类造血干细胞的再生。如果这个结果可以在人体内重现,这种化合物可以帮助人们更快地从化疗、放疗和骨髓移植中恢复。

这项研究发表在《自然通讯》杂志上,揭示了造血干细胞再生背后的生物学原理以及被这种新药阻断的特定分子过程的作用。造血干细胞存在于骨髓中,产生身体所有的血液和免疫细胞。
UCLA Health 医疗中心再生医学和干细胞研究中心成员、UCLA Health 医疗中心大卫格芬医学院血液学/肿瘤学医学和放射肿瘤学教授John Chute说,先前的研究表明,一种叫做受体型蛋白酪氨酸磷酸酶-sigma的蛋白质(PTP-sigma)主要存在于控制神经元再生的神经系统中,当神经元中的PTP-sigma被激活时,它会阻止神经元的再生。如果没有PTP-sigma,神经在受伤后更容易恢复。
化疗和放疗通常抑制造血干细胞的活性,血液和免疫系统通常需要数周或数月才能恢复。2014年,Chute和他的同事发现,PTP-sigma也存在于血液干细胞中,其在血液干细胞中的作用与在神经元中的作用相似。在那项研究中科学家发现,PTP-sigma基因缺失的小鼠在受到辐射干扰后的造血干细胞再生速度更快。

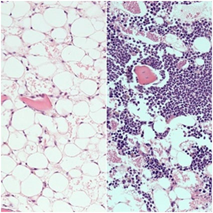
辐射过后,小鼠骨髓中几乎完全丧失了血细胞(左)。用PTP-sigma抑制剂治疗的小鼠显示血细胞快速恢复(紫色,右侧)
PTP-sigma属于一组被称为酪氨酸磷酸酶的蛋白质,这类药物很难被药物阻断。大多数酪氨酸磷酸酶都有相似的活性位点,因此,阻断一种酪氨酸磷酸酶活性位点的药物通常会同时阻断其他酪氨酸磷酸酶,引起一系列副作用。
在这项新的研究中,Chute与加州大学医学化学主席、加州大学洛杉矶分校化学与生物化学杰出教授、药物开发专家Michael Jung合作。Jung的团队设计并合成了100多种候选药物来阻止PTP-sigma,Chute和他的团队测试了候选药物的功能。其中,一些候选药物成功阻断了PTP-sigma,且对其他磷酸酶没有影响。
Chute团队进一步在实验室培养的人类造血干细胞和小鼠身上测试了这些药物,以确定哪种药物最有效地加快了辐射后造血干细胞的恢复。
其中一种代号为DJ009的药物疗效突出。DJ009使实验室中的人类造血干细胞系恢复功能,这些干细胞随后被移植到免疫缺陷的小鼠体内,在那里这些细胞能够存活并正常运作。这些结果表明这种药物可能最终在人类体内起作用。

Chute 说:“这种化合物在动物模型中的效力非常高。它加速了造血干细胞、白细胞和其他重要的血液系统成分的恢复。如果被证明对人体安全,这种化合物可以减少感染,并允许人们早点出院。”
在高剂量辐射的小鼠中,几乎所有接受DJ009的小鼠都存活下来;未接受PTP-sigma抑制剂的小鼠超过一半在三周内死亡。
在化疗的小鼠中(剂量接近癌症患者使用的剂量),未接受DJ009的小鼠白细胞和中性粒细胞计数极低,两周后白细胞才开始能够抵抗细菌;接受PTP-sigma抑制剂治疗的小鼠,治疗后白细胞快速恢复到正常水平和正常功能。
研究人员现在正致力于对DJ009和其他类似的化合物进行调整,目标是下一步能够进行人体试验。他们还将继续探索抑制PTP-sigma促进造血干细胞再生的机制。
2019-08-15 16:46
好医友小编
联系医学顾问
医学顾问微信在线