新型肺炎:专家强烈呼吁“CT阳性就隔离”,核酸检测恐“滞后”
医学资讯
|
阅读量:次
截至2月5日12时,新型冠状病毒肺炎(2019-nCoV)累计确诊病例24363例,重症病例3219例,死亡492例,治愈897例,湖北确诊病例16678例。
在严峻的疫情面前,武汉大学中南医院影像科副主任张笑春教授强烈呼吁政府“优化目前抗疫的流程和策略”。她在朋友圈写道:别再迷信核酸检测了,强烈推荐CT影像作为目前2019nCoV肺炎(诊断)的主要依据。强烈建议政府征用酒店、宾馆或学生宿舍收纳近10万之多的疑似及大部分医学观察者,强制隔离治疗。

张笑春教授认为,目前武汉市家庭聚集性发病越来越多,而且大多起病隐匿,一次甚至多次核酸阴性,无任何临床症状,如采取家居留观方式,必然造成疫情进一步蔓延。应该即刻启动只要与疑似病例有过接触者均排查CT,只要CT阳性,就近集中隔离于酒店宾馆或学校,由专业人员统一管理发放药品,动员社会力量参与工作,有限的医务人员是无法应对十几万无症状或加重留观人员的。
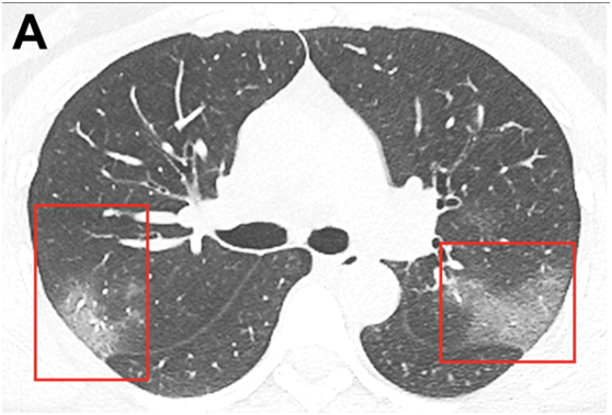
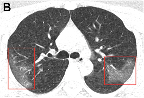
目前,放射科医师们正在努力寻找该病毒在医学影像中的表现。1月31日,北美放射学会(RSNA)在其《放射学》杂志上发表了关于冠状病毒(2019-nCoV)的首批影像研究。这是一个来自中国的案例研究,解读了一名33岁新冠肺炎女性患者的计算机断层成像(CT)。

图A:该患者入院时,未增强的胸部CT显示双侧肺内有多处毛玻璃样混浊。右上叶后段及左上叶顶端后段可见毛玻璃样阴影。

图B:经过三天的治疗,并结合干扰素吸入,该患者临床表现更差,复查胸部CT显示右上叶后段及左上叶顶端后段进行性毛玻璃样混浊。
研究指出,影像学检查是2019-nCoV诊断的关键组成部分。双侧对称的肺周混浊是2019新型冠状病毒肺炎的常见CT表现。早期疾病识别不仅对及时治疗至关重要,而且对患者隔离和有效的公共卫生控制和应对也至关重要。
2月4日,华中科技大学一位教授也向湖北省新型冠状病毒防控总指挥部提交了《关于推荐以CT影像作为2019nCoV肺炎主要诊断依据的建议》。
建议理由如下:
1、胸部CT的病毒性肺炎检出率高。经调查,武汉红十字会医院、武汉六七二医院、湖北省荣军医院、孝感应城市中医医院、黄石市中医医院和武汉大学中南医院,目前放射影像科的片子有90%-95%为胸部CT,胸部CT片子中50%-60%左右显示为病毒性肺炎特征,因此湖北省特别是武汉市病毒性肺炎患者数量巨大,而这些患者中的很多人既不在疑似也不在新冠确诊人数中,没有得到隔离或者治疗。
2、核酸检测受限。核酸检测试剂盒质量参差不齐,核酸检测稳定可靠性尚存疑;核酸检出率低,许多病例要重复2-3次检测;很多病人咽拭子阴性但肺细胞灌洗液里有病毒;目前等待核酸检测人数大大超过检测能力,仓促上阵得出的检测结果可靠性不高。
3、防控优先,因地制宜。相比核酸检查的种种受限,CT检查及时、准确、快捷、阳性率高、肺部病变范围与临床症状密切相关,建议依据CT病变范围结合临床资料,如血氧饱和度判断患者轻重缓急,重症优先住院,轻者尽快隔离,必要时征用移动CT进社区筛查。
4、强制隔离小区和村庄。所有疑似患者小区和村庄全部封闭,按照感染者、疑似者、亲密接触者、正常人4类进行分类管理。
2月3日,中国工程院院士、国家卫健委高级别专家组成员李兰娟在接受央视采访时表示,武汉目前检测试剂数量不够,因此不是每个人能够得到检测。
这种情况下,如果能多多听取一线医生们的建议,调整和优化防控策略,或许才有希望做到“早发现、早诊断、早隔离、早治疗”。
战疫情新进展
美国研究发现:丙型肝炎药物EPCLUSA有抑制新型冠状病毒的潜力
哥伦比亚大学工程学院的研究人员一直在研究应对新型冠状病毒2019-nCoV的策略。他们发现丙型肝炎病毒和冠状病毒使用类似的病毒基因组复制机制,从而推断FDA批准的丙肝药物EPCLUSA (Sofosbuvir / Velpatasvir)有可能可以抑制2019 - ncov。为了开发广谱抗病毒药物来攻击这些病毒,哥伦比亚大学的研究小组构思了一种设计和合成病毒聚合酶抑制剂的新策略:将用于开发Sofosbuvir的方法与该研究小组先前构建的具有聚合酶终止功能的核苷酸类似物中的3’阻断基团结合起来。研究团队一直与美国疾病控制中心和美国国立卫生研究院保持联系。他们希望这种方法能够起效,从而帮助世界各地的同仁共同对抗这次全球紧急的肺炎疫情。
2020-02-05 12:05
好医友小编
联系医学顾问
医学顾问微信在线