疾病知识导航
服务项目 ∨
国际会诊
中美联合会诊
英国专家会诊
日本专家会诊
出国看病
美国看病
英国看病
日本看病
放射治疗
美国质子治疗
日本质子治疗
日本硼中子俘获疗法 ( BNCT )
基因检测
肿瘤治疗应答指数检测 ( TRI )
健康管理
名医名院 ∨
国际专家
国际医院
中美远程医联体
实际案例 ∨
癌症
肺癌
肝癌
乳腺癌
宫颈癌
卵巢癌
结直肠癌
前列腺癌
膀胱癌
胰腺癌
淋巴瘤
多发性骨髓瘤
白血病
甲状腺癌
胃癌
黑色素瘤
脑肿瘤
其他肿瘤
专科疾病
心血管专科
肺病专科
胃肠道专科
眼科
肝病专科
内分泌专科
皮肤专科
风湿免疫专科
罕见病
其它专科
神经疾病
癫痫
抑郁
焦虑症
帕金森
多发性肌炎
格林-巴利综合征
儿童疾病
心脏病
新生儿呼吸窘迫综合征
前沿医讯 ∨
医学资讯
用药资讯
出国看病资讯
科普视频
关于我们 ∨
公司介绍
企业新闻
媒体报道
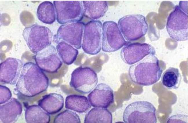
直捣黄龙!新疗法有望攻克难治儿童白血病
医学资讯 发布时间:2019-12-03
急性淋巴细胞白血病(ALL)是一种主要影响儿童和年轻人的血癌。不幸的是,它的预后很差,酿成了不少悲剧。 通常,骨髓造血干细胞(未成熟的细胞)随着时...
更多+
诊断新方法,在家就能尿液检测前列腺癌?
东安格利亚大学和诺福克与诺维奇大学医院的最新研究显示,他们正在开发一种用于前列腺癌的简单尿液检测,可以在家收集的尿液样本。该研究发表在《...
肺癌容易漏诊?别忽略了这八个早期症状
江女士去年春节开始出现咳嗽、咳痰,期间一直当做是普通感冒治疗。但是咳嗽、咳痰的症状反反复复发作,最近开始觉得左侧胸痛,咳嗽、呼吸时加重,...
冬季易发冠心病,如何预防是关键!
很多人都知道,寒冷的冬天是冠心病的多发季,中老年朋友们需要多加注意防范。今天来跟大家聊聊冬季如何应对冠心病那些事儿。...
没有听说过头颈癌?给你来科普一下
说起头颈癌,很多朋友可能会疑惑,这是什么癌症?从来都没有听说过。那么,我们来给你科普一下!...
帕金森病越来越年轻化,这些必须重视起来!
医学资讯 发布时间:2019-12-02
10年前,41岁的周先生发现自己在激动时双手会不停地颤抖,但一直没太在意,即使医生诊断为帕金森病并建议用药,考虑到药物有副作用,他迟迟没有吃药...
急性白血病患者,及时认清这4点很重要
急性白血病的病情发展是非常迅速的,但由于急性白血病患者往往缺乏一些基本的治疗和护理常识,处理不当则每每影响疗效,只会延误治疗。急性白血病...
乳腺癌患者可以美发、美甲吗?
爱美之心人皆有之,乳腺癌患者也不例外。对于乳腺癌患者而言,美发、美甲只是出于对美和外在形象的追求。但是问题在于,乳腺癌患者可以美甲、美发...
未来已来,虚拟“治疗师”与患者交流,协助医生看病
医学资讯 发布时间:2019-11-29
目前,美国军方正在使用由美国南加州大学创新技术研究所设计的一款名为SimSensei的程序,帮助确定退伍军人是否需要接受治疗。他们使用一个名为Ellie的...
世界艾滋病日丨新研究“主攻”艾滋病毒的脆弱窗口期
今年12月1日是第32个世界艾滋病日,宣传主题是社区动员同防艾,健康中国我行动(Communities make the difference)。 据统计,全世界每年感染人类免疫缺陷病毒...
联系医学顾问
医学顾问微信在线